חיפשת: %s

מחקר חדש בעזרת fMRI מגלה שכלבים מסוגלים לחוש קרינת חום MRI - מושגי יסוד ופיזיקה

קרינה אינפרה-אדום (תת-אדומה) הינה קרינה אלקטרומגנטית פולטת חום שאורך הגל שלה ארוך משל האור הנראה, אך קצר משל קרינת מיקרוגל (התדר שלה נמצא מתחת לקרינת האור האדום, ולכן היא נקראת קרינת אינפרה אדום). כל עצם על פני כדור הארץ, ובפרט גוף האדם ובעלי חיים, פולטים קרינת חום בתחום זה. ישנם מעט מאוד בעלי חיים שמסוגלים לחוש קרינה אינפרה אדום, כדוגמת מספר חיפושיות (כמו Melanophila acuminate), מספר נחשים (כמו Crotalinae, Boidae) ועטלפי הערפד (אשר משתמש ביכולת זו לאתר אזורים עשירים בדם לשם נשיכה מוצלחת יותר) מחקר שנעשה ממש לאחרונה בהונגריה גילה כי גם חברו הטוב של האדם, הכלב, מסוגל לחוש קרינה תרמית מרחוק…לחצו להמשך קריאה

ה-FDA אישר בפעם הראשונה MRI נייד קטן לסריקת מוח במיטת המטופל MRI בישראל ובעולם

מאת: עופר בן חורין. עתיד תחום ה-MRI הינו אחד התחומים הכי מבטיחים בתחום הדימות הרפואי, והמחקר בתחום זה גדל והולך כאשר מדינת ישראל מצטיינת בעיקר בתחום זה. לפני מספר שנים קיים העתידן, ד”ר רועי צזנה, מסיבת השקה לספרו החדש, כאשר במהלך המסיבה הוטמנה קפסולת זמן עם פתקי תחזיות לעתיד, קפסולה אשר תיפתח 20 שנה לאחר הטמנתה. בתוך אותה הקפסולה ביקשתי להטמין גם תחזית לגבי עתיד ה-MRI, ואחת מהתחזיות היתה שבעתיד ה-MRI כבר לא יהיה רק בדמות מכשיר ענקי כפי שהוא כיום, אלא יהיו מכשירים קטנים אשר משובצים במחלקות…לחצו להמשך קריאה

עכירות הקרנית וממאירות אצל רופאים, רנטגנאים ואחיות עובדי קרינה MRI - מושגי יסוד ופיזיקה

מאת: עופר בן חורין. לבצע סריקת MRI איננה דבר קל לכולם, הסורק מרעיש, לעיתים מעורר תחושות קלאסטרופוביה והבדיקה נמשכת זמן רב. אז מה היה קורה אם היו מבקשים ממכם לישון לילה שלם בתוך סורק ה-MRI? זו בדיוק ההוראה שנתנו חוקרים מאוניברסיטת בוסטון לנחקרים במהלך מחקר, שהדגים בפעם הראשונה בצילום שגלים של נוזל CSF (נוזל מוחי-שדרתי- ע.ב.ח.) שוטפים את מוחנו…לחצו להמשך קריאה

מחקר גנטי חדש בעזרת MRI ובינה מלאכותית מאפשר זיהוי מוקדם של מועמדים לאי-ספיקת לב עתידנית MRI - בדיקות ואפליקציות

מאת: עופר בן חורין. מחלות לב הינן גורם התמותה השני בישראל. מידי שנה כ-30,000 ישראלים לוקים בהתקף לב וכ-7,000 מתים ממחלות לב. אחת ממחלות הלב נקראת אי-ספיקת לב, מחלה בה הלב, לרוב בשל בעיה בחדר השמאלי של הלב, מתקשה לספק את הדרישות המטבוליות של האיברים השונים בגוף – דבר הגורם לקוצר נשימה, עייפות ובצקת.דימות הלב בעזרת MRI הוא תחום מתפתח אשר נחקר רבות בשנים האחרונות. מחקר גנטי חדש, אשר בוצע על-ידי חוקרים מאוניברסיטת קווין מרי שבלונדון…לחצו להמשך קריאה

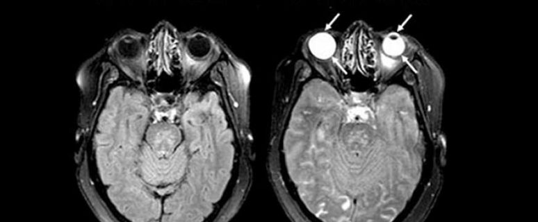
גדוליניום ב-MRI- מה לעשות כאשר יש צורך במעקב פעיל בעזרת MRI אחרי מחלה? MRI - בדיקות ואפליקציות

מאת: עופר בן חורין. צ’אק נוריס ידוע כשחקן פעולה ששיחק בסרטים רבים, אלא שבשנת 2017 הוא עלה לכותרות בעקבות תביעה על-סך 10 מיליון דולר שהגישו הוא ואשתו כנגד מספר יצרנים של חומר ניגוד מבוסס גדוליניום (באנגלית- GBCAs- gadolinium-based contrast agents), חומר הניגוד המוזרק בסריקות MRI. אשתו נאלצה לעבור מספר סריקות MRI להערכת פגיעה במפרקים בעקבות דלקת פרקים שלקתה בה ולטענת נוריס ואשתו, היא הורעלה במה שקרוי GDD- Gadolinium Deposition Disease ולכן סובלת מכאבים ותחושות שריפה באיברי גופה. כחודש אחרי התביעה, פרסם ה-FDA (מנהל המזון והתרופות האמריקאי) אזהרה…

להפוך את סריקת ה-MRI לקונצרט של מוזיקה קלאסית MRI - בדיקות ואפליקציות

מאת: עופר בן חורין. נבדקים רבים, כאשר הם מבצעים סריקת MRI, מתלוננים על הרעש החזק. לשם כך הם מקבלים אטמי אוזניים ולעיתים גם אוזניות המשמיעות את המוזיקה אותה הם בחרו. מסתבר שקבוצת מהנדסים אמריקאיים מאוניברסיטת Case Western Reserve University אשר בקליבלנד החליטו לעשות משהו קצת יותר קיצוני ולגרום לסורק ה-MRI עצמו לנגן מוסיקה קלאסית…לחצו להמשך קריאה

הורמזיס של קרינה – האם חשיפה לקרינה מייננת במינון נמוך יכולה להיות בריאה לנו? MRI - בדיקות ואפליקציות

מאת: עופר בן חורין. קרינה נחשבת בעיני רופאים ונבדקים כדבר שיש להימנע ממנו ככל האפשר. כאשר נבדקים מופנים לבדיקה, הם חוששים מהקרינה שהם הולכים לקבל. כאשר אנשים שוקלים ללמוד רנטגנאות או להתמחות ברדיולוגיה, החשיפה לקרינה יכולה להתריע אותם ולהוות שיקול בהחלטתם. אין עוררין על כך שקרינה ברמות גבוהות הינה גורם שמזיק מאוד לבריאות וגורם למחלות שונות, אבל האם אפשר להגיד את אותו הדבר על קרינה ברמות נמוכות, כמות הקרינה הניתנת בבדיקות דימות למיניהן? לא בטוח….לחץ להמשך קריאה

סורקי ה-MRI החזקים בעולם ומה צופן העתיד בתחום MRI בישראל ובעולם

מאת: עופר בן חורין. לפני כשנה בערך, לאחר ארבע שנות ניסויים בבעלי חיים, נכנס אדם אל מרכז מחקר במיניאלפוליס, מינסוטה שבארצות הברית, אשר בראשותו של מנהל המרכז, קאמיל אוגרביל (Kamil Ugurbil), על מנת לבצע MRI לבדיקת סחוס פרק הירך בסורק ה-MRI החזק ביותר שקיים כיום בעולם…לחץ להמשך קריאה

אלגוריתם חדש כמעט מייתר את הצורך בגדוליניום בסריקות MRI MRI - בדיקות ואפליקציות

מאת: עופר בן חורין. מספר מחקרים שנעשו בשנה האחרונה גילו שגדוליניום נכנס לתוך גופנו, אך לא ממש יוצא, אלא מצטבר. לא ידוע עדיין האם יש לכך השלכות בריאותיות, אך כבר כיום מנסים מכוני מחקר למצוא שיטות על מנת  לחסוך בכמות הגדוליניום. מחקר חדש שהוביל ד”ר אנאהו גונג (Enhao Gong), מייסד חברת מחשוב בתחום הדימות הרפואי מקליפורניה בארצות הברית בשם Subtle Medical of Menlo Park, הציג בכנס השנתי האחרון של האגודה לרדיולוגיה של צפון אמריקה (RSNA) אלגוריתם למידה ממוחשבת עמוקה (Deep Learning ) אשר הצליח להציג תמונות סריקת MRI איכותיות במינון של 10% מכמות הגדוליניום…לחצו להמשך קריאה

צוות מדענים ממכון וייצמן פיתח חומר סימון חדשני לסריקות MRI MRI - מושגי יסוד ופיזיקה

  בעת סריקת MRI מזריקים כיום חומר ניגוד בשם גדוליניום אשר מטרתו לסמן פתולוגיות. בארץ ובעולם כולו מנסים חוקרים לאתר חומרים ושיטות אחרות על מנת לאפשר אות MRI חזק יותר, בלי להעלות את עוצמת המגנט, ואז לקבל תמונה איכותית יותר ואפשרות טובה יותר לזהות פתולוגיות. לאחרונה פיתחו צוות מדענים ממכון ויצמן ננו-גבישים של סידן פלואורי

להמשך