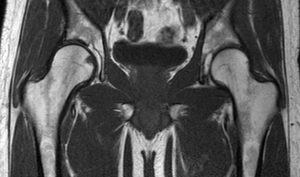
מאת: עופר בן חורין. MRI פרקי ירכיים היא בדיקה יעילה ביותר להדגמת מפרקי הירכיים וסביבתם. ניתן לבצע אותה על מנת לאתר קרעים במפרק, שינויים ניוונים, חבלות למיניהם, זיהומים, גידולים וכל תלונה אחרת המתארת כאב או נפיחות…
כדי להטמיע, העתיקו את כתובת האינטרנט והדביקו באתר וורדפרס
כדי להטמיע, יש להעתיק ולהדביק את הקוד לאתר